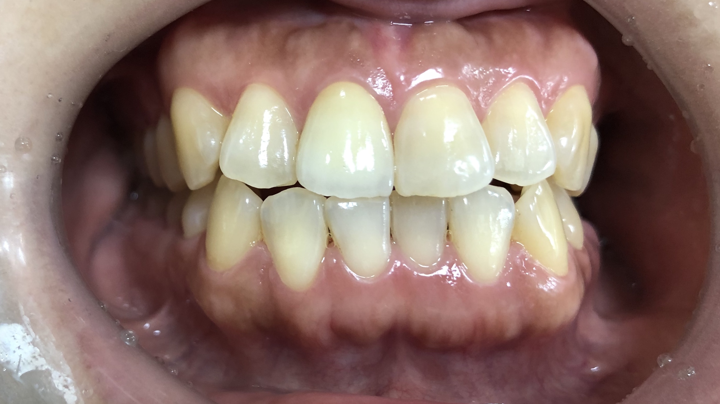
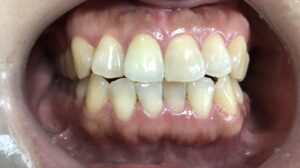
上の写真、どれが補綴物だと思いますか?
左右対称が気になる上顎前歯は色調はもちろん表面性状も見た目の違和感に大きく関与します。ベースは白いジルコニア、その上からセラミックで色調と形態、表面性状を整えて仕上げます。長い年月に歯茎が退縮しても黒くならず境目が気にならない優れ物です
(^ー^)
院長
2020.12.05
2020.12.04
2020.12.03
2020.11.29
2020.11.28
2020.11.26
2020.11.21
2020.11.17
2020年 (97)
2019年 (88)
2018年 (175)
2017年 (4)
2016年 (1)
歯のことでお悩みでしたら、新大久保歯科医院まで。まずはお気軽にお問い合わせください。