
症例1【30代女性】右上7番根尖相当部に大きな病巣がみられ、副鼻腔の粘膜にも波及し、肥厚している。15ヶ月後、病巣はほぼ消失し、骨が再生、副鼻腔粘膜の肥厚も消失。
治療前

治療後(15ヶ月後)

治療前

治療後

2Dのレントゲンではわずかな病巣としか見えませんが、3DのCTでは内部にかなり大きな病変が在るのが良くわかります。
治療前

治療後

治療前

治療後

症例2【40代男性】右上側切歯の歯髄壊死。根管内も殺菌・消毒を約4ヶ月間行うことにより、病巣はほぼ消失し、硬線が明瞭に見える。
治療前

治療後(9ヶ月後)

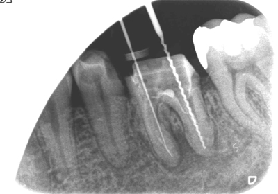
症例3【50代男性】左下第一大臼歯の根尖病巣。
根管内の殺菌・消毒を約3ヶ月間行うことにより、病巣はほぼ消失、硬線が明瞭に見える。
治療前

治療後(14ヶ月後)

症例4【40代女性】根管の長さを正確に測り、殺菌・消毒を約5ヶ月間行うことにより、病巣はほぼ消失し、硬線が明瞭に見える。
治療前

治療後(26ヶ月後)

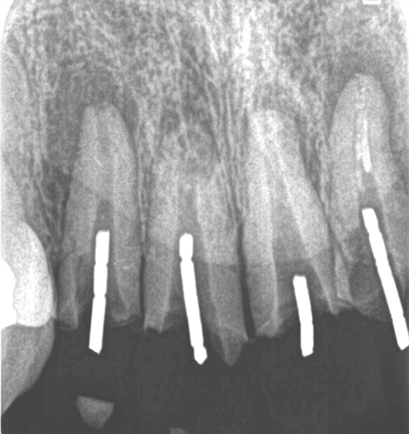
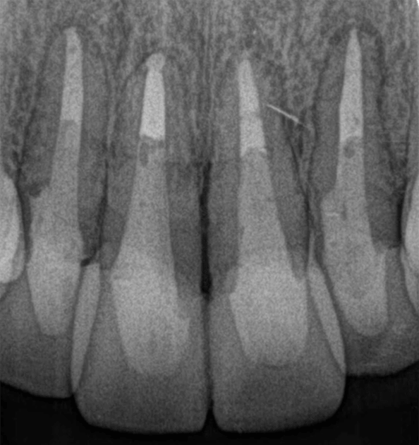
症例5【50代男性】前歯4本の根尖病巣
治療前

治療後(24ヶ月後)

