
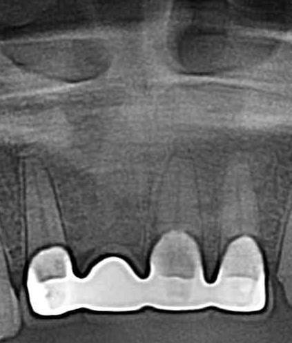
ソケットリフト
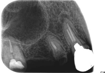
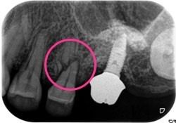
症例1
治療前

治療後

※説明
主訴 左上小臼歯から大臼歯部にかけて、脱離・歯冠崩壊、及び欠損があり、左奥では物が噛めない。
まだ年齢も50代と若く、義歯は煩わしく嫌であるという訴えがあり、左上5番・6番にインプラントを2本埋入する計画を立案。
副鼻腔までの距離がわずかしかないので、ソケットリフトと、骨の緻密化を計る為に、C・C・Wドリリング法を併用。
オぺから仮歯装着まで3ヶ月を要し、4ヶ月未満の治療期間を経て最終補綴物ジルコニア2本を装着。
リスクとしては、ソケットリフト(骨造成)による一過性の副鼻腔炎が起きる可能性がある。まれに洞底膜が破れる可能性がある。
ただし、膜は約3週で再生するので、膜の回復を待ち、再オペを行う。
費用 116万(オペ・ソケットリフト・人工骨・採血による濃縮血小板生成・仮歯・最終補綴物まで含む)
症例230代 男性 左上5 副鼻腔膜を挙上しインプラントを埋入
治療前

治療後(1年経過)

※説明
主訴 根尖病巣を長期放置していた為、抜歯。年齢を考慮し、インプラントを選択。
骨高不足の為、ソケットリフト(骨造成)を採用。
採血により得たCGFメンブレンとAFGブロック(人工骨β-TCPとAFGを混ぜたブロック)を填入し、副鼻腔の洞底膜を6㎜挙上後、インプラント体を埋入。
約4ヶ月間の免荷期間を経て、ジルコニアを装着。
リスクとしては、外科的侵襲がある。デメリットは、保険外診療の為、経済的負担がある。
費用 69万(税込)(オペ・ソケットリフト・人工骨・採血による濃縮血小板生成・仮歯・最終補綴物まで含む)
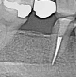
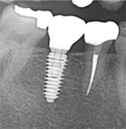
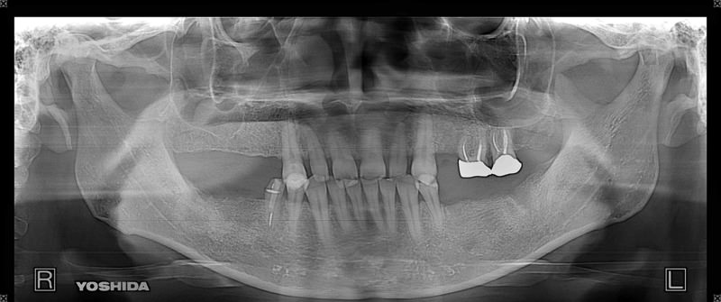
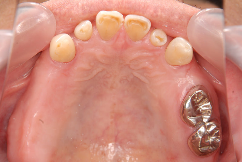
症例3【40代女性】右上74根尖病巣の治療 右上56 洞低膜を挙上しインプラント埋入
治療前

治療後(5年経過)

※説明
主訴 右上で物が噛めない。インプラントを希望され来院。
右上第二小臼歯はC₄にて抜歯。右上第一大臼歯は欠損の状態。
残存骨が5~6㎜程で、インプラント埋入には骨の高さが不足している為、ソケットリフト(骨造成)を行った。洞底膜を挙上することで、骨の高さの不足を解消。
採血のよるCGFメンブレンとAFGブロック(人工骨β‐TCPとAFGを混ぜたブロック)を填入しインプラント2本を埋入。約4ヶ月の免荷期間を経て、仮歯を装着、リハビリをし、約5ヶ月後にメタルボンド(金属焼付ポーセレン)を装着。
リスクとしては、ソケットリフト(骨造成)による一過性の副鼻腔炎が起きる可能性がある。まれに洞底膜が破れる可能性がある。ただし、膜は約3週で再生するので、膜の回復を待ち、再オペを行う。
費用 113万(オペ・ソケットリフト・人工骨・採血による濃縮血小板生成・仮歯・最終補綴物まで含む)
症例4【50代女性】左上6 副鼻腔膜を挙上しインプラント埋入 左上5 歯根破折の為インプラント埋入
治療前

左上5の歯根破折

治療後(10年経過)

※説明
主訴 左上奥歯で物が噛めない。入れ歯は煩わしいので、インプラントを希望。
左上第一大臼歯欠損部位は、骨の高さが3~4㎜しかなく、造骨の為にソケットリフト(骨造成)を行い、骨の高さを確保しインプラントを埋入。
約半年の免荷期間を経て、仮歯を装着、リハビリをし、約7ヶ月後にメタルボンド(金属焼付ポーセレン)を装着。
その後、左上第二小臼歯の歯根破折の為に、2本目のインプラントを埋入。(抜歯即時埋入)
リスクとしては、ソケットリフト(骨造成)による一過性の副鼻腔炎が起きる可能性がある。まれに洞底膜が破れる可能性がある。ただし、膜は約3週で再生するので、膜の回復を待ち、再オペを行う。
費用 111万(オペ。ソケットリフト・人工骨・採血による濃縮血小板生成・仮歯・最終補綴物まで含む)
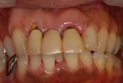
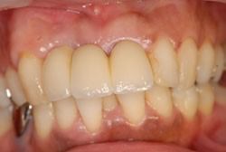
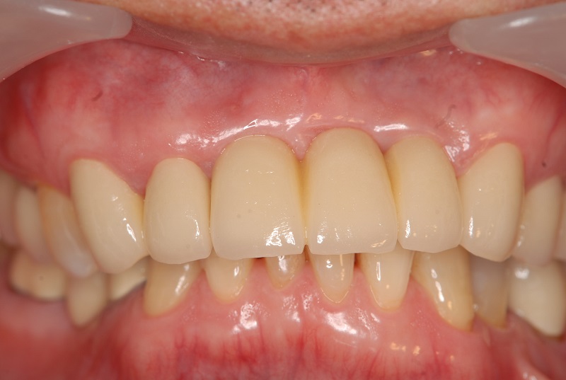
症例(前歯)
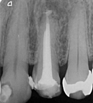
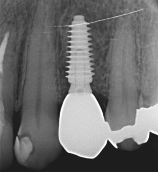
症例1【70代女性】前歯の歯根破折の為、インプラント埋入
治療前

治療後(6年経過)

治療後(6年経過)

※説明
主訴 上顎前歯部2本の歯根破折の為に来院。義歯は留め金が見えることに抵抗があり、ブリッジは健全な歯を削って被せることから、最終的には力学的に強いインプラントを選択。
抜歯と同時に、2本のインプラントを埋入。ギャップには採血によって得られた、AFGブロック(人工骨とAFGを混ぜたブロック)を填入。免荷期間中は接着の仮歯を隣接歯に固定し、約3ヶ月の免荷期間を経て、仮歯のインプランブリッジを装着、約4ヶ月後にメタルボンドブリッジ(金属焼付ポーセレン)を装着。
リスクとしては、外科的侵襲がある。デメリットは、保険外診療の為、経済的負担がある。
費用 103万(オペ・人工骨・採血による濃縮血小板生成・仮歯・最終補綴物まで含む)
症例260歳 男性 主訴 前歯部がグラグラする
治療前


治療後(3年経過)


※説明
主訴 前歯部ブリッジの動揺を訴え来院。入れ歯の選択肢はなく、力学的に強く、両隣接歯を守るインプラントを選択。先ず過剰歯を抜歯。その後、2本インプラントを埋入し、同時に即時荷重非接触型の仮歯を装着。約3ヶ月間の免荷期間を経て、ジルコニアを装着。
リスクとしては、外科的侵襲がある。デメリットは、保険外診療の為、経済的負担がある。
費用 90万(税込) (オペ・仮歯・最終補綴物まで含む)
症例360歳 男性 主訴 前歯部がグラグラする
治療前


治療後(5年経過)


※説明
主訴 前歯部の動揺を訴え来院。長いブリッジが装着されており、力学的に荷重負担現象が見受けられる為に、欠損補綴の第一選択肢であるインプラントを選択。インプラント埋入と同時に即時荷重非接触型の仮歯を装着。
約3ヶ月間の免荷期間を経て、ジルコニアブリッジを装着。
リスクとしては、外科的侵襲がある。デメリットは、保険外診療の為、経済負担がある。
費用 126万(税込) (オペ・仮歯・最終補綴物まで含む)
症例470歳 男性 主訴 前歯部がグラグラし、噛みにくい
治療前


治療後(3年経過)


※説明
主訴 前歯部ブリッジの動揺の為来院。歯ぎしり、喰いしばりによる力の影響である為、つなげるブリッジではなく、インプラントを選択。インプラント埋入と同時に即時荷重非接触型の仮歯を装着。
約4ヶ月後の免荷期間を経て、ジルコニアを装着。
リスクとしては、外科的侵襲がある。デメリットは、保険外診療の為、経済的負担がある。
費用 53万(税込)(オペ・仮歯・最終補綴物まで含む)
症例(奥歯)
症例1
治療前

治療後

期間・・・約2ヶ月
費用・・・43万(税込)(オペ・仮歯・最終補綴物まで含む)
症例2
治療前

治療後

期間・・・約2ヶ月
費用・・・48万(税込)(オペ・仮歯・最終補綴物まで含む)
症例3
治療前

治療後

期間・・・約3ヶ月
費用・・・48万(税込)(オペ・仮歯・最終補綴物まで含む)
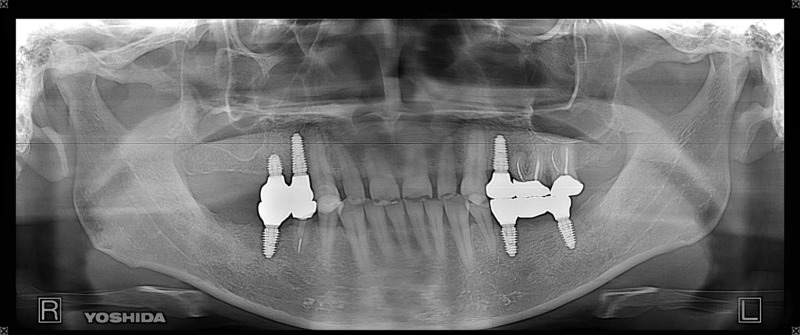
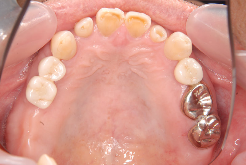
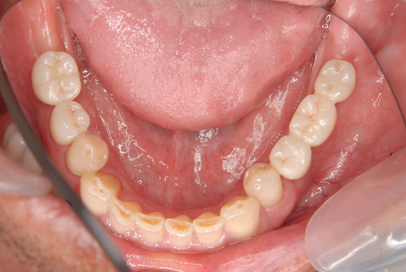
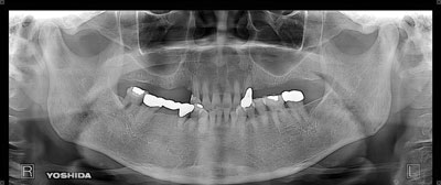
症例(全体)
症例140代 男性 主訴 奥歯に歯を入れたい、しっかり噛みたい
治療前



治療後(5年経過)



※説明
主訴 奥歯がない為、食事が不自由である。入れ歯は煩わしいので、固定制のインプラントにして欲しいと訴え来院。口腔内全体で6本のインプラントを埋入。仮歯にて神経筋機構、顎関節のバランスを整え、リハビリを経て、約5ヶ月後にジルコニアを装着。
リスクとしては、外科的侵襲がある。デメリットは、保険外診療の為、経済的負担がある。
費用 316万(税込) (オペ・仮歯・最終補綴物まで含む)
症例2【70代女性】主訴 義歯がわずらわしい・しっかり噛みたい
治療前

治療後(2年経過)

※説明
主訴 上顎のみ部分義歯を使用しているが、入れ歯が煩わしい、固定制のインプラントにして欲しいと来院。
左右上顎第一大臼歯相当は、骨の高さが不足しており、ソケットリフト(骨造成)の必要があり、左右第一小臼歯、第一大臼歯支台のインプラントブリッジを提案。
採血で得られた、CGFメンブレンとAFGブロック(人工骨β‐TCPとAFGを混ぜたブロック)を使用し骨を挙上し、インプラントを埋入。
右下のブリッジも、短根歯で動揺が激しい為に抜歯し、インプラント埋入。
上顎の免荷期間は約4ヶ月、下顎の免荷期間は約2ヶ月を経て、仮歯を装着、リハビリをし、メタルボンド(金属焼付ポーセレン)を装着。
費用 280万(オペ・ソケットリフト・人工骨・採血による濃縮血小板生成・仮歯・最終補綴物まで含む)
症例3【60代女性】主訴 審美障害・義歯がわずらわしい
治療前

治療後(3年経過)

治療前

治療後

※説明
主訴 上下の部分義歯が煩わしい、しっかり奥歯で噛めないと訴え来院。
上顎前歯部、左上臼歯部にはブリッジが装着されていて、支台歯に負担がかかっており、力学的配慮設計を重視し、固定制のインプラントを提案。
前歯部、小臼歯部には、造骨、歯肉移植も含めた幅の確保をし、永続性のある土壌作りを行った。
免荷期間中は、QOLを損なわない為に、ミニインプラント(即時荷重)を埋入、オペ当日に仮歯を装着し、咀嚼可能にした。
最終補綴物装着までの期間は、約8ヶ月を要した。ジルコニア(レイヤリング法)を装着。
リスクとしては、外科的侵襲がある。デメリットは、保険外診療の為、経済的負担がある。
費用 501万 (オペ・ミニインプラント・人工骨・歯肉移植・仮歯・採血による濃縮血小板生成・最終補綴物まで含む)
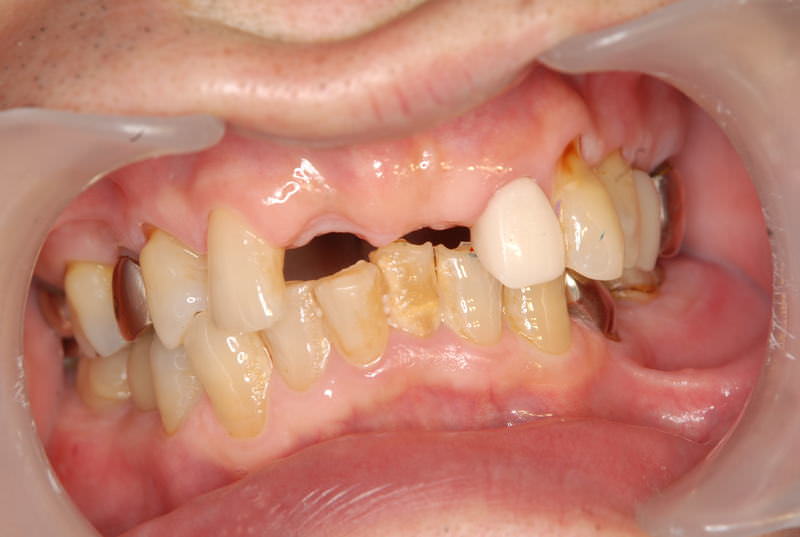
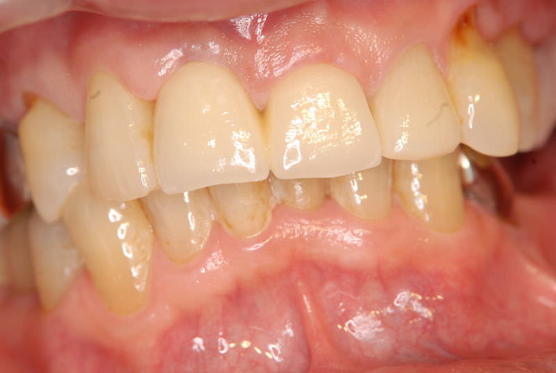
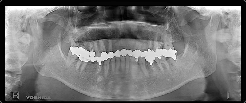
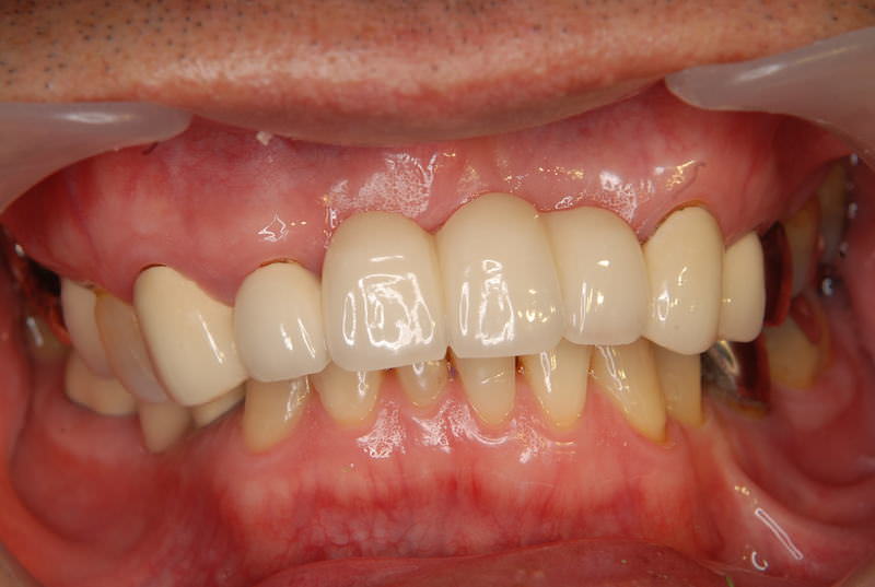
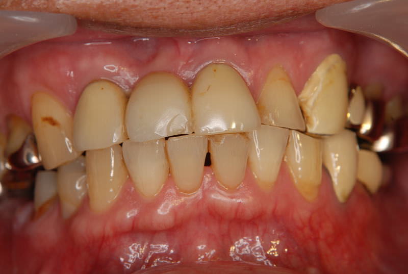
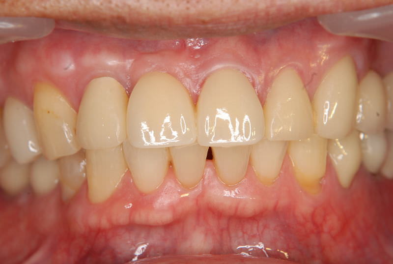
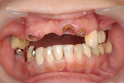
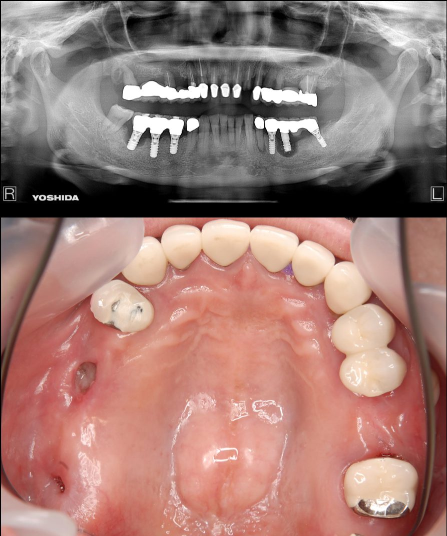
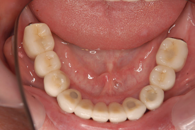
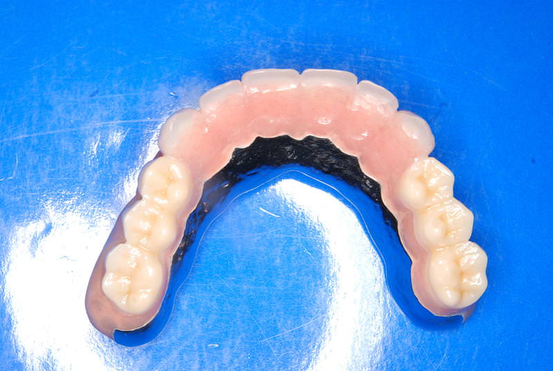
症例4【60代女性】臼歯部が崩壊して奥歯で物が噛めない
治療前

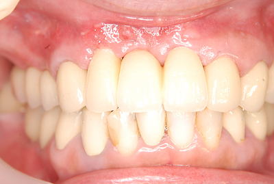
治療後

※説明
主訴 下顎臼歯部のインプラント周囲炎を併発している。又、上顎臼歯部においては歯周病が進行しており、咀嚼ができない状態である。インプラント周囲炎に関しては、インプラント体を撤去し力学的に安定した位置に1本のみ埋入。
上顎は、臼歯部に採血で得られるCGFメンブレンとAFG(人工骨β―TCPとAFGを混ぜたブロック)を併用したソケットリフト(骨造成)を行い、
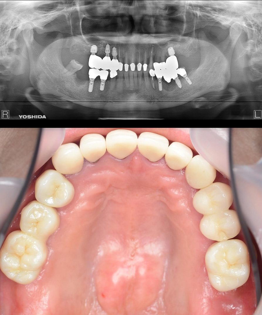
インプラントを4本埋入。オペから仮歯を経て最終補綴物ジルコニア装着まで約5カ月を要した。
リスクとしては、ソケットリフト(骨造成)による一過性の副鼻腔炎が起きる可能性がある。まれに洞底膜が破れる可能性がある。
ただし、膜は約3週で再生するので、膜の回復を待ち、再オペを行う。
費用 276万(オペ・ソケットリフト・人工骨・採血による濃縮血小板生成・仮歯・最終補綴物まで含む)
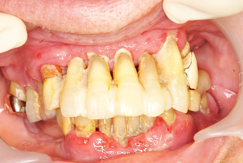
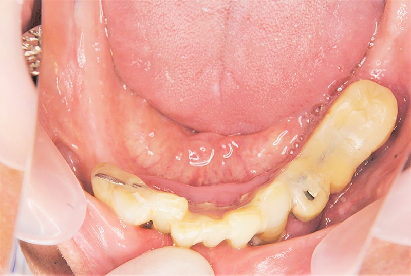
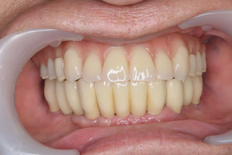
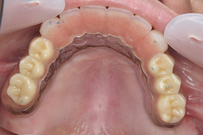
症例560代 男性 主訴 全体的に歯がグラグラしていて、しっかり噛めない
治療前




治療後(6年経過)






※説明
主訴 全ての残存歯がホープレス状態である為、インプラントを希望。抜歯前に即時義歯の総義歯を作製。ずれてしまっている顎関節の位置を補正・咀嚼のリハビリ・嚥下機能の回復を促した。その後、本来あるべきポジションにインプラント埋入を開始した。上下共に6本ずつ、計12本のインプラントを埋入。
上顎左右臼歯部の4本は、骨の高さが不足していた為、ソケットリフト(骨造成)を採用。免荷期間を経て、ケラターアタッチメントを用いたオーバーデンチャーを装着。人工歯のメタルアップにはジルコニアを選択。
下顎は固定制のメタルボンドブリッジ(金属焼き付けポーセレン)を装着。
リスクとしては、外科的侵襲がある。デメリットは、保険外診療の為、経済的負担がある。
費用 839万(税込)(オペ・仮歯・仮義歯・ソケットリフト・人工骨・採血による濃縮血小板生成・最終補綴物まで含む)

