
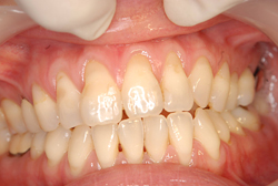
症例1【50代女性】主訴・前歯4本の根が見えるのが気になる。根面被覆(Root coverage)口蓋(上顎)から歯肉を採取し、露出している根面に歯肉を移植し被覆。
治療前

術中


治療後

※説明
主訴 上顎前歯4本の根が見えるのが気になる。
根面被覆(Root coverage)口蓋(上顎)から歯肉を採取し、露出している根面に歯肉を移植し被覆。
露出が目立たなくなり、歯肉のラインもきれいに改善された。
費用 10万(歯肉移植術)
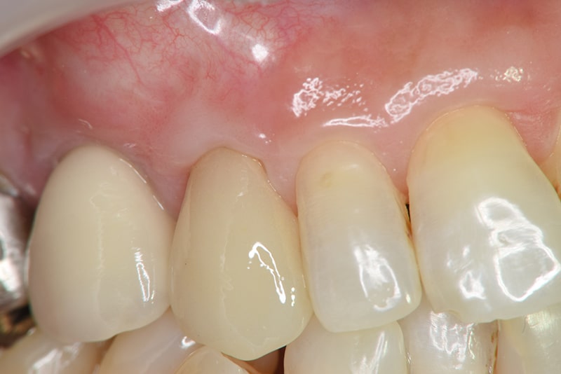
症例230代 女性 主訴 右上犬歯の歯が長いのが気になる。
治療前

治療後

説明 主訴 右上犬歯の歯が長いのが気になるとのことで来院。根面被覆(Root coverage)口蓋(上顎)から歯肉を採取し、露出している根面に歯肉を移植し被覆。
露出が目立たなくなり、歯肉のラインもきれいに改善された。
リスクとしては、外科的侵襲がある。デメリットは、保険外診療の為、経済的負担がある。
費用 11万(税込)(歯肉移植)
症例3左下5 リグロス(歯周組織再生剤)を使用
治療前

治療後(14ヶ月後)

※説明
主訴 左下第二小臼歯の動揺、咬合痛の為来院。
まずはブラッシング指導を行い、プラークコントールが15%以下で、出血もなくなったことを確認。
その後、フラップオペ(歯肉を開く)をし、歯肉縁下の歯石を取り、歯周組織再生剤のリグロスを注入し、縫合。
約14ヶ月後には、遠心部の骨が再生され、硬線もクリアに見えてきている。
費用 8万 (オペ・歯周組織再生剤を含む)
症例4右下1 リグロス(歯周組織再生剤)を使用
治療前

治療後(25ヶ月後)

※説明
主訴 右下中切歯からの排膿により来院。
まずは、約1ヶ月のブラッシング指導、噛み合わせの調整、プラークコントールが15%以下になったのを確認。
その後、フラップオペ(歯肉を開く)をし、縁下歯石の除去、歯周組織再生剤のリグロスを注入し、縫合。
約25ヶ月経過後、骨の高さも確認でき、クリアに皮質骨もできてきている。
費用 8万 (オペ・歯周組織再生剤を含む)
リグロス
組み換え型ヒトbFGF(塩基性線維芽細胞成長因子:生体内に存在し、細胞の増殖や分化の調節を行うタンパク質の一種)を有効成分とする世界初の歯周組織再生医薬品。歯槽骨、セメント質および歯根膜の再生を促進し、結合組織性付着を形成する。
