
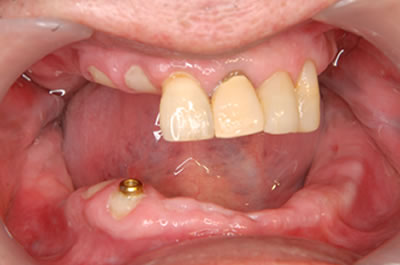
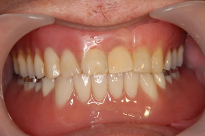
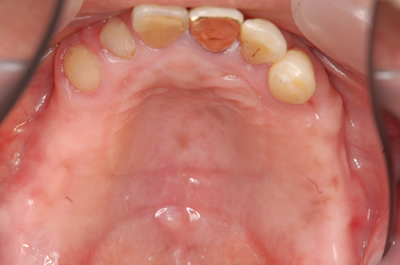
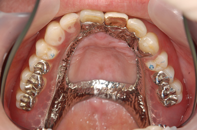
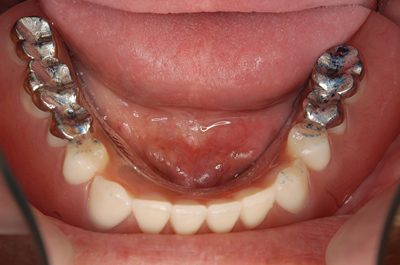
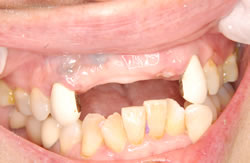
症例1【70代 男性】エステティックデンチャー・メタルプレート
メタルプレートの場合は必ず改造義歯を作り、現在の不満を概ね解消してから、メタルプレートを作製。
治療前

治療後

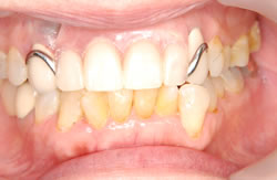
治療前

治療後

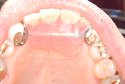
治療前

治療後

メタルプレートの場合は必ず改造義歯を作り、現在の不満を概ね解消してから、メタルプレートを作製。
※説明
主訴 留め金が見えない入れ歯にして欲しい、しゃべりにくいので薄い入れ歯にして欲しい
費用 100万(仮義歯・エステティックデンチャー・メタルプレート・ケラターアタッチ・金属歯まで含む)
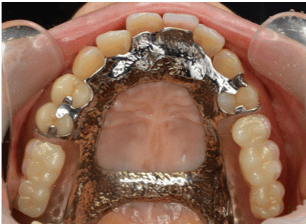
症例2メタルアップ
金属歯にすることにより、噛み合わせの変化、義歯のブレ・ガタつきをなくす、咀嚼効率、食材の切断効率が良くなる
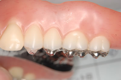
銀歯


ゴールド

ジルコニア(天然歯色)


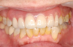
治療前

治療後

治療前

治療後

銀歯 費用 97万(仮義歯・メタルプレート・金属歯まで含む)
ゴールド 費用 119万(仮義歯・メタルプレート・金属歯まで含む)
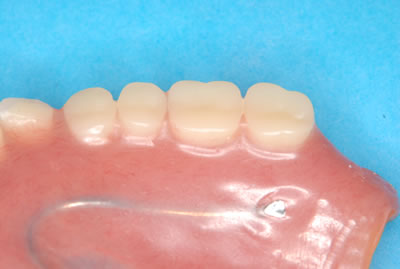
健康保険内で作製した義歯
レジン歯では直ぐに下記画像のように、ツルンツルンと減ってしまい、切れがなくなる




歯界展望 1995 Vol.85 No.3筒井照子・筒井昌秀より引用

「噛む!砕く! たくわんサクサク・せんべいボリボリ しっかり咀嚼するには強固なフレームと金属歯がキーポイントです」
プラスチックでは真平らになってしまいます。
金属歯にすることにより、磨耗がプラスチック歯より少ないため、かみ合わせが安定します。
また、入れ歯(義歯)は必ず治療用の入れ歯(仮り歯)により、入れ歯の深さや、厚み、歯並び、あごの位置を整え、神経筋肉の調和を図り、製作します。そのため、完成物は生体と一体化した武器となりえるのです。
症例3シリコーン義歯
顎堤が鋭利な方や、まっ平らな方にお薦めです。噛み応えは抜群に良いです




費用 75万 (仮義歯・金属歯まで含む)
症例4【80代 女性】エステティックデンチャー・メタルプレート
留め金が見えることに抵抗があり、金属を使用しないエステティックデンチャーを選択。
治療前



治療後


※説明
主訴 留め金がカッコ悪い もっと見栄え良くして欲しい
費用 41万 (仮義歯・エステティックデンチャー・メタルプレートまで含む)
「金属床義歯・シリコン義歯製作は全て日本キャストプレート社製」

