
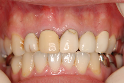
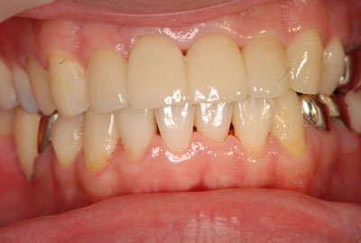
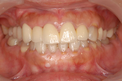
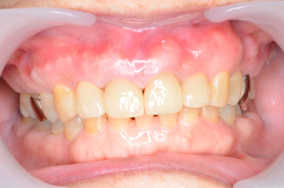
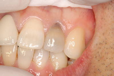
症例1【30代男性】審美障害・見た目をきれいにしたい 右上12左上123 e-max(ステイン法)装着
治療前

治療後

※説明
主訴 上顎前歯5本、見た目をきれいにしたいと来院。
e-max(ステイン法)を選択。色調が統一され、審美改善。
費用 44万(土台・仮歯・補綴物まで含む)
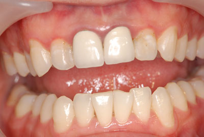
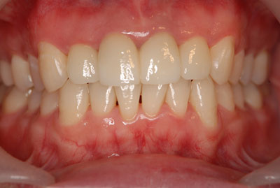
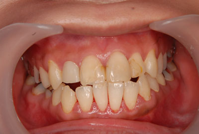
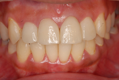
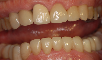
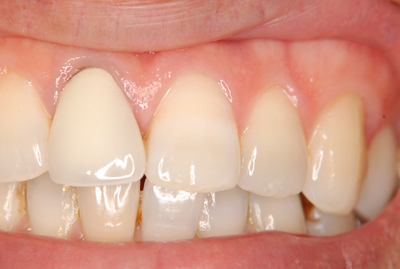
症例2【30代女性】右上12左上12 e-max(ステイン法)装着
治療前

治療後

※説明
主訴 上顎左右中切歯、側切歯の計4本の審美障害により来院。
e-max(ステイン法)にて修復。金属を使用していないe-maxを選択することで、歯肉も明るくなり審美改善。
費用 37万(土台・仮歯・補綴物まで含む)
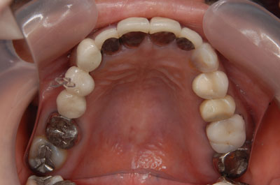
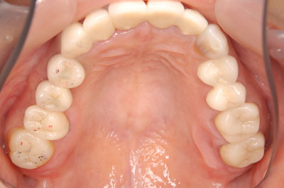
症例3【60代男性】右上5のブリッジを治したい(インプラント埋入)、左上7に歯を入れたい(インプラント埋入)
治療前

治療後(7年経過)

治療前

治療後

※説明
主訴 右上第二小臼歯を治したい、左上第二大臼歯に歯を入れたい、又、見える箇所はきれいな白い歯にして欲しいと訴え来院。
負担のかかるブリッジは選択せず、欠損している部位にはインプラントを埋入。欠損部位は骨の高さが不足している為、ソケットリフト(骨造成)を行った。約4ヶ月の免荷期間を経て、仮歯を装着、リハビリをし、メタルボンド(金属焼付ポーセレン)と、ゴールドクラウンを装着。
上顎6カ所、下顎5カ所に対しては、e-max(ステイン法)にて、クラウン・インレーをそれぞれの箇所に装着。
費用 195万(オペ・ソケットリフト・人工骨・仮歯・土台・最終補綴物まで含む)
症例4【30代男性】思いっきり笑いたい・前歯をきれいにしたい ジルコニア(レイヤリング法)装着
治療前

治療後

治療前

治療後

※説明
主訴 思いっきり笑いたい、前歯をきれいにしたいと訴え来院。
かぶせ物には、審美性に優れたジルコニア(レイヤリング法)を選択。小さい詰め物には、e-maxインレーを選択。
更に、右上小臼歯部抜歯後、狭窄した歯列弓には、ボリュームを出す為に結合組織移植(CTG)を行い、唇側に歯肉のボリュームを回復した。
費用 240万 (土台・仮歯・補綴物まで含む)
症例5【70代女性】前歯をきれいにしたい e-max(ステイン法)装着
治療前

治療後

※説明
主訴 上顎前歯部の色が変色し、色がまばらなのできれいに揃えたいと来院。
e-max(ステイン法)にて修復。自然感あるセラミックを選択したことにより審美改善。
費用 41万(土台・仮歯・補綴物まで含む)
症例6【20代男性】e-max(レイヤリング法)装着
治療前

治療後

※説明
主訴 上顎前歯部4本、詰め物の継ぎ目や変色が気になる。見た目をきれいにしたいと訴え来院。
e-max(レイヤリング法)を選択。天然歯のような自然感が得られ審美改善。
費用 56万 (土台・仮歯・補綴物まで含む)
症例7【70代男性】上下前歯の審美障害の為、e-max(ステイン法)装着
治療前

治療後

※説明
主訴 上下顎前歯部の歯が短く、見た目が良くないのできれいにしたいと訴え来院。
咬合高径は正常な範囲内だったので、上下のバランスを測ること、更に、下顎前歯部の歯冠延長術を行った。仮歯を装着し、歯周の治癒を待ちe-max(ステイン法)を装着。
歯冠の長さも整えられ、セラミック装着により審美改善。
費用 103万(歯冠延長術・土台・仮歯・補綴物まで含む)
症例8【50代男性】ウォーキングブリーチ(神経をとってある歯)
治療前

治療後

※説明
神経を取った歯の変色が気になるとのことで来院。
ウォーキングブリーチを選択。週一回の薬剤の交換を5回行い、審美改善。
費用 2万
症例9【50代女性】主訴・前歯4本の根が見えるのが気になる。根面被覆(Root coverage)口蓋(上顎)から歯肉を採取し、露出している根面に歯肉を移植し被覆。
治療前

術中


治療後

※説明
主訴 上顎前歯4本の根が見えるのが気になる。
根面被覆(Root coverage)口蓋(上顎)から歯肉を採取し、露出している根面に歯肉を移植し被覆。
露出が目立たなくなり、歯肉のラインもきれいに改善された。
費用 10万(歯肉移植術)
症例1030代 女性 主訴 右上犬歯の歯が長いのが気になる。
治療前

治療後

説明 主訴 右上犬歯の歯が長いのが気になるとのことで来院。根面被覆(Root coverage)口蓋(上顎)から歯肉を採取し、露出している根面に歯肉を移植し被覆。
露出が目立たなくなり、歯肉のラインもきれいに改善された。
リスクとしては、外科的侵襲がある。デメリットは、保険外診療の為、経済的負担がある。
費用 11万(税込)(歯肉移植)
ジルコニア
酸化ジルコニウム(ZrO₂)を主成分とする。低熱伝導性(他のセラミックスと比較して熱伝導率は1/10以下)、耐熱性、耐食性に優れ、常温のセラミックスの中では、最も高い強度と靭性を持ち、曲げ強度1400MPaと歯科修復材料の中で最も高い曲げ強さを示す。また、熱伝導率が低く、エナメル質に近いため、口腔内において熱の伝わり方が自然である。
e-max
曲げ強度400MPaと、他のガラスセラミクッスやハイブリッドセラミックス、ジルコニアを除くCAD/CAMブロックと比較して高い値を示し、臼歯部の修復においても安心して使用できる強度を持っている。さらに摩耗性に関しても、天然歯に近い硬度であるため、対合歯に咬耗を引き起こすリスクが少ない点においても修復材料として理想的な性質を有している。
ステイン法
修復物全体をプレスセラミックス(形作られたワックスから鋳型を起こして、セラミックスを炉で軟化し圧をかけて成形する手法)だけで製作する方法。モノリシックな単一構造の修復物となるため、強度は最も強い。一方、プレスセラミックス自体の透明感とステイニング(セラミックスにゲル状ステイン剤を使用し着色すること)、グレースにて審美性を獲得するため、審美性には限界がある。
レイヤリング法
修復物の唇側面全体を築盛陶材にて覆う方法で、強度面では上記2つの方法にはやや劣るものの、最も高い審美性が得られる。

