歯髄保護
最近は、歯の神経を年齢に関係なく飛躍的に保存する事が可能になってきています。
歯科材料の進歩が1番の要因ですね。
ただ、高価である為に、国民皆保険診療での使用は、なかなか難しい面もあります。
欧米人はデンタルIQ(歯に対する知識や意識)が高い国民性で、歯の神経を取る事に一大決心するとても重要なポイントです!
生活歯に比べて失活した歯(神経取った歯)は、脆く割れ易くなるのを知っているからでしょう。
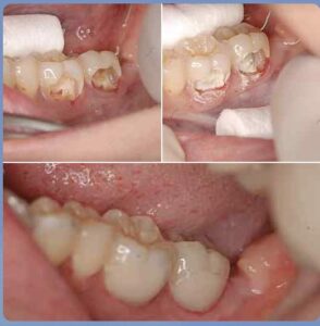
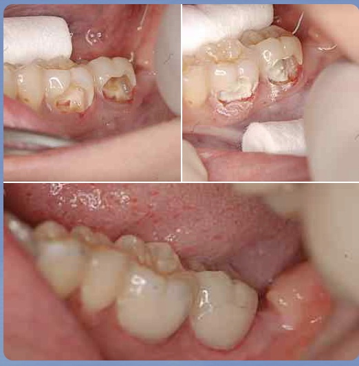
画像は46才の方。虫歯を『う蝕検知液』で感染歯質を取り除いていくと、神経に到達してしまいました。
しかしそこで安易に一般的治療的に抜髄するのではなく、充分に止血し最高級のMTAセメントを使い、精製水で養生すれば神経を上手く残すことが可能なケースとなりました。
要は感染源の部位まで断髄、切断が重要です
稀に壊死することもありますが..(´༎ຶོρ༎ຶོ`)
世界的にエンド(根管治療)分野権威者
リクッチ先生のエンドの真髄を学び臨床に活かします。
医学は日進月歩‼︎..勉強しなくてはいけないと理事長の口クセです(#^.^#)

