VOL.12 口臭が気になることありませんか?
![]()
1.舌苔(ぜったい) 新陳代謝によって、はがれ落ちた口の中の粘膜細胞や白血球などが舌に付着し、それが細菌により分解されて生じる口臭。 ●POINT | ![]() 舌苔(ぜったい)の除去 |
2.生理的口臭 起床時、空腹時、緊張時、疲労時などに唾液の分泌が減少し、口の中の細菌が増えることにより起こる口臭です。(右記の図を参照ください) ●POINT 3.唾液分泌量の減少 唾液分泌量が減少することによって起こる口臭の原因は、加齢、ストレス、不規則な生活、薬による副作用などさまざまです。 ●POINT
| ![]() 唾液の分泌の多い時間 |
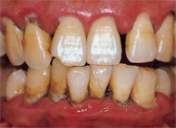
4.歯周病や虫歯 歯と歯ぐきの間の歯肉に細菌の塊(プラーク)が発生し、そこに増殖する菌が口の中のタンパク質を分解するときに悪臭を発生させます。ブラッシング方法、虫歯、歯並びなどが原因です。 ●POINT
| ![]() 重度歯周炎の歯肉 |
5.食べ物による口臭 文字通り、ニンニクやお酒などを飲んだり食べたりしたものが原因の口臭。 ●POINT 6.口臭恐怖症 自分の口臭が生理的範囲であるにもかかわらず、気にしすぎてしまうケース。 ●POINT
お気軽にご相談ください。 出典:クインテッセンス出版株式会社『歯医者さんの待合室』 |




