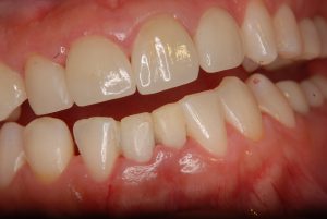
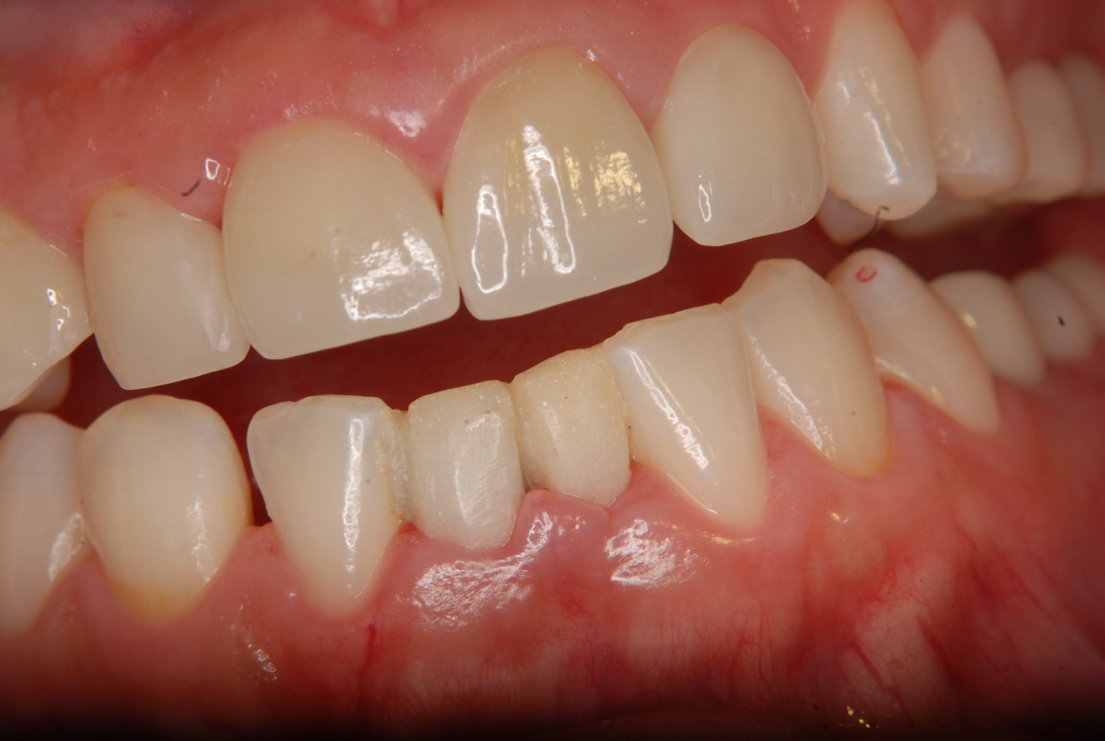
M.I.治療
どの歯が補綴物(イミテーション)か分かりますか?
(保険治療です)
歯を失う、、両隣の歯は健全歯、、
最良治療は健全歯に負担をかけない、欠損部位のみで完結治療法はインプラントです。
様々な理由で他の選択肢を選ぶ際には『入れ歯』か『ブリッジ』になります。
このケースは接着ブリッジを選択
選択基準の見分けはDr.が咬合を熟知してることがポイントですが、欠損部の両隣在歯の内側だけを削り、外側の見える歯質は削らずそのまま自分の歯で自然観の確保と削る量を減らすことが出来ます。
今回のケースは健康な両隣在歯を最小限に削る『M.I.』治療法で施術しました。M.I.とはミニマム.インターベーション.歯質や歯髄の犠牲を出来るだけ最小限に抑え歯の寿命を伸ばすコンセプトで行われる最小侵襲の治療法です。
昨今の歯科業界は接着剤や歯面処理材、根管充填剤などの開発が進み(未だ未だ一部の材料は保険適応外ですが.)歯の寿命を伸ばす方法が増えて来ました。『80才で20本』目指したいですね٩(^‿^)۶
院長
新大久保歯科医院



