M.I.治療☆第2弾
(理事長の症例)
MI治療第2弾‼︎
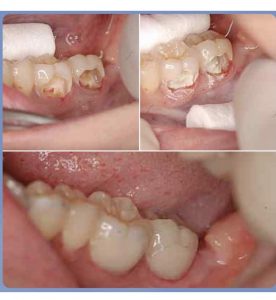
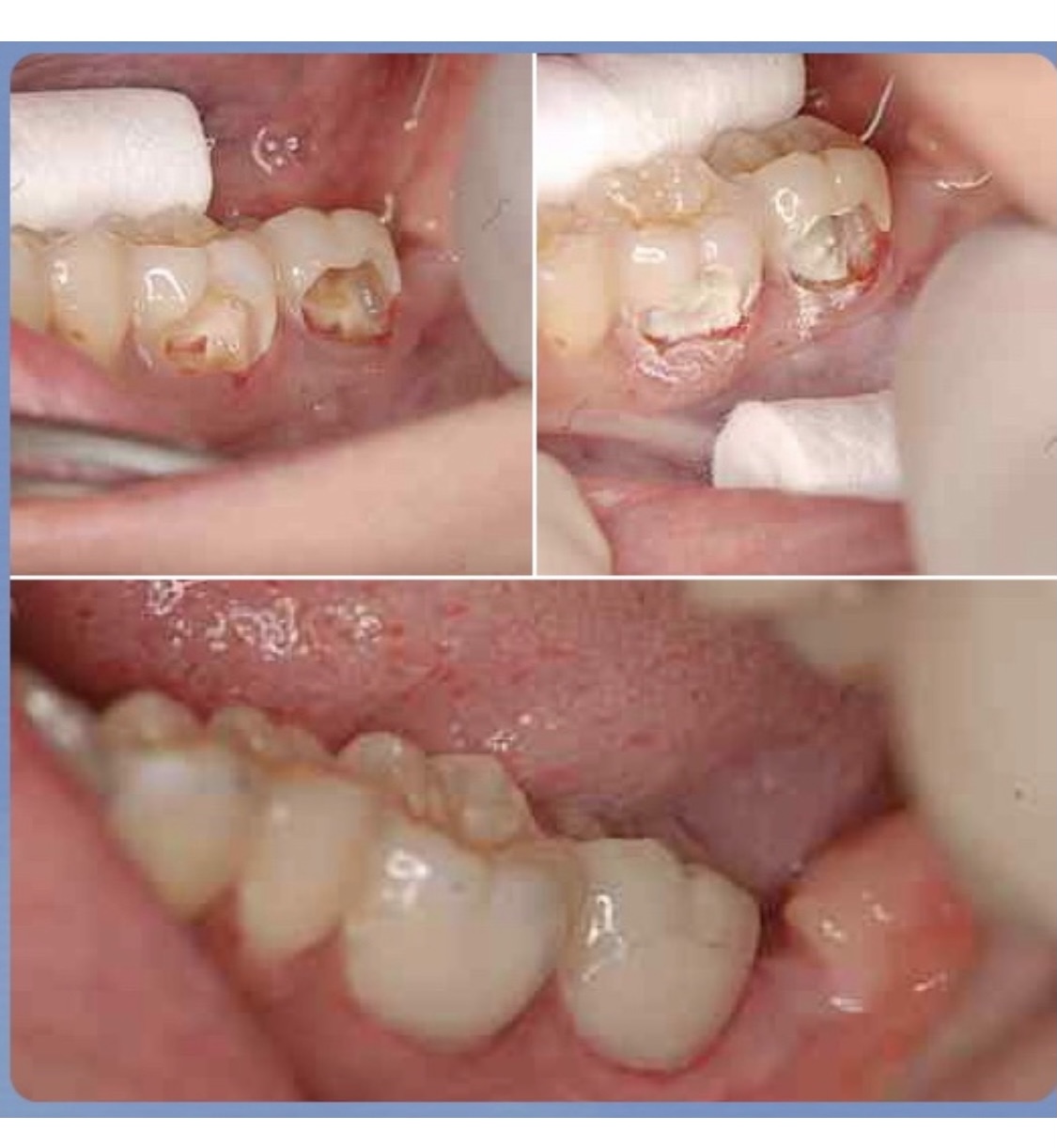
歯髄(歯の神経)をどこまで残せるか
大きく虫歯が進行すると歯の中枢にある歯髄(神経)まで影響を及ぼします。
虫歯が歯髄まで進行すると、歯の神経を取ることに。
しかし、歯髄は最高の根管充填剤!!!
神経を取ると歯には水分が無くなり、脆く割れ易くなってしまうため、歯はむやみに削らない、歯の神経はむやみに取らない、可及的に保存する!これがとても大切な事なのです。
歯の状態にもよりますが、すでに汚染された必要最低限の神経のみを取り除き、そこにMTAセメントというケイ酸3カルシウム主成分の材料を使って歯の神経を保存出来る場合があります。
MTAは戦後開発された歯科材料で1番の効果ある材料と言われています。保険適用外の材料にはなりますが…
自分の歯でしっかり咬む人生を考え神経を取る選択肢を提示されたとき、
一度ご相談下さい。
猪子副院長
新大久保歯科医院

