VOL.4 大口を開けて笑える奥歯治療があります
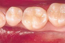
| ムシ歯治療後の銀歯がたくさん入っていると気になって笑う時に口に手をあてて隠してしまったりしていませんか? ところが、自分の歯と同じ色のつめものが出来るって知っていましたか? |
術前 ![]() 術後
|
GC(株)ポスタ-より |
| お気軽にご相談ください。 |
新大久保歯科医院
| ムシ歯治療後の銀歯がたくさん入っていると気になって笑う時に口に手をあてて隠してしまったりしていませんか? ところが、自分の歯と同じ色のつめものが出来るって知っていましたか? |
術前 ![]() 術後
|
GC(株)ポスタ-より |
| お気軽にご相談ください。 |
2020年 (97)
2019年 (88)
2018年 (175)
2017年 (4)
2016年 (1)
歯のことでお悩みでしたら、
新大久保歯科医院まで。
まずはお気軽に
お問い合わせください。