VOL.5 天然歯そのままが再現出来るセラミック冠のすすめ
![]() 顔のバランス | きれいに並んだ形のよい白い歯は、どこの国でも美人の一つの条件になっていますが、日本の場合、女性が歯や口の中を見せることは、女らしさに反する、という考え方があるようです。 しかし、本当は、白い綺麗に並んだ歯等を存分に見せて、美しい表情を自己主張するのは魅力を増す重要な手段で、近頃の若い女性では、口を大きく開けて笑う方が、かわいくて女らしいとされるようになってきたようです。 だから、歯の美しさと言うことに敏感で、漂白や、矯正をしたり、義歯にするこが、美容の大きな要素になっているのです。
| ||||||
(GCの笑顔を変えて見ませんか-より) | |||||||
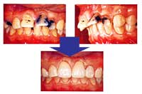
| 審美歯科の領域が発達してきた中でも、セラミック冠は驚異の被覆冠で、丈夫で、美しく、天然歯そのままが、再現出来るすばらしい補綴物です。 | ||||||||||
| ||||||||||
| ||||||||||
| ||||||||||
| お気軽にご相談ください。 |
新大久保歯科医院



